Treatment of Pseudo Class III (Class I Molar Relationship) and management of the embedded maxillary canine (Pt. Miss J.I.)
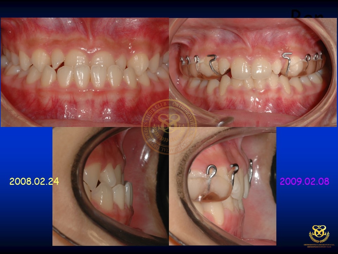
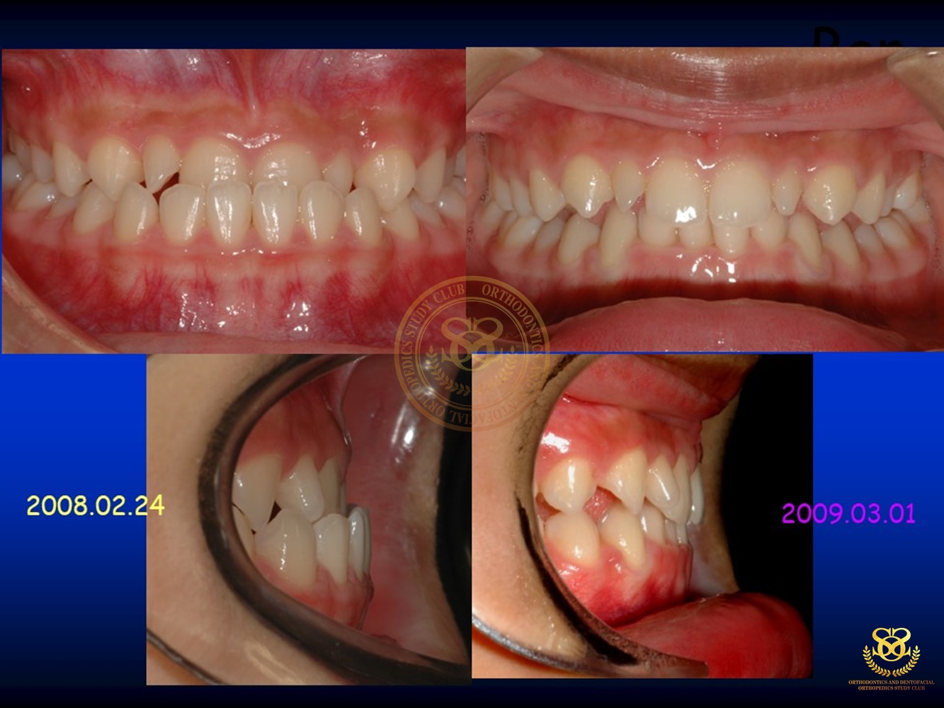
เคสตัวอย่าง Ben.Early Class III Tx.v.2018.CURRENT 2019-10-181168 views0 By Dr.Schwan Somsiri Share Share Share
Condylar Resorption : due to Asymmetrical & Unbalancing tooth extraction 14, 24, 36 and 45 Dr.Schwan Somsiri2024-04-24 เนื้อหาทั่วไป
Treatment of Pseudo Class III (Class I Molar Relationship) and management of the embedded maxillary canine (Pt. Miss J.I.)