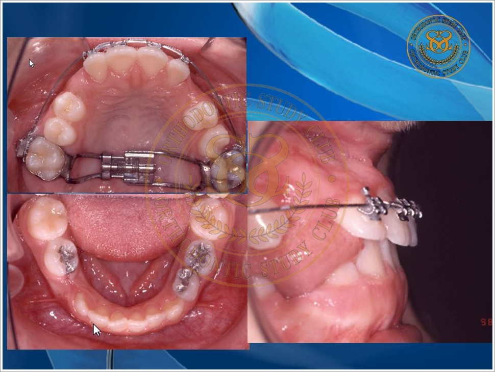
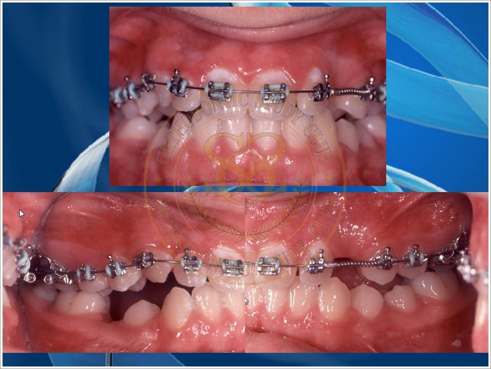
Treatment of Pseudo Class III (Class I Molar Relationship) and management of the embedded maxillary canine (Pt. Miss J.I.)
Share Treatment of Pseudo Class III (Class I Molar Relationship) and management of the embedded maxillary canine (Pt. Miss J.I.) Share
การนวดแบบกดจุด สำหรับรักษาอาการปวดกล้ามเนื้อที่ใช้บดเคี้ยวและคอ บ่า ไหล่ (Orthopedic Massage technique (Th))
Condylar Resorption : due to Asymmetrical & Unbalancing tooth extraction 14, 24, 36 and 45 Dr.Schwan Somsiri2024-04-24 เนื้อหาทั่วไป
Treatment of Pseudo Class III (Class I Molar Relationship) and management of the embedded maxillary canine (Pt. Miss J.I.)